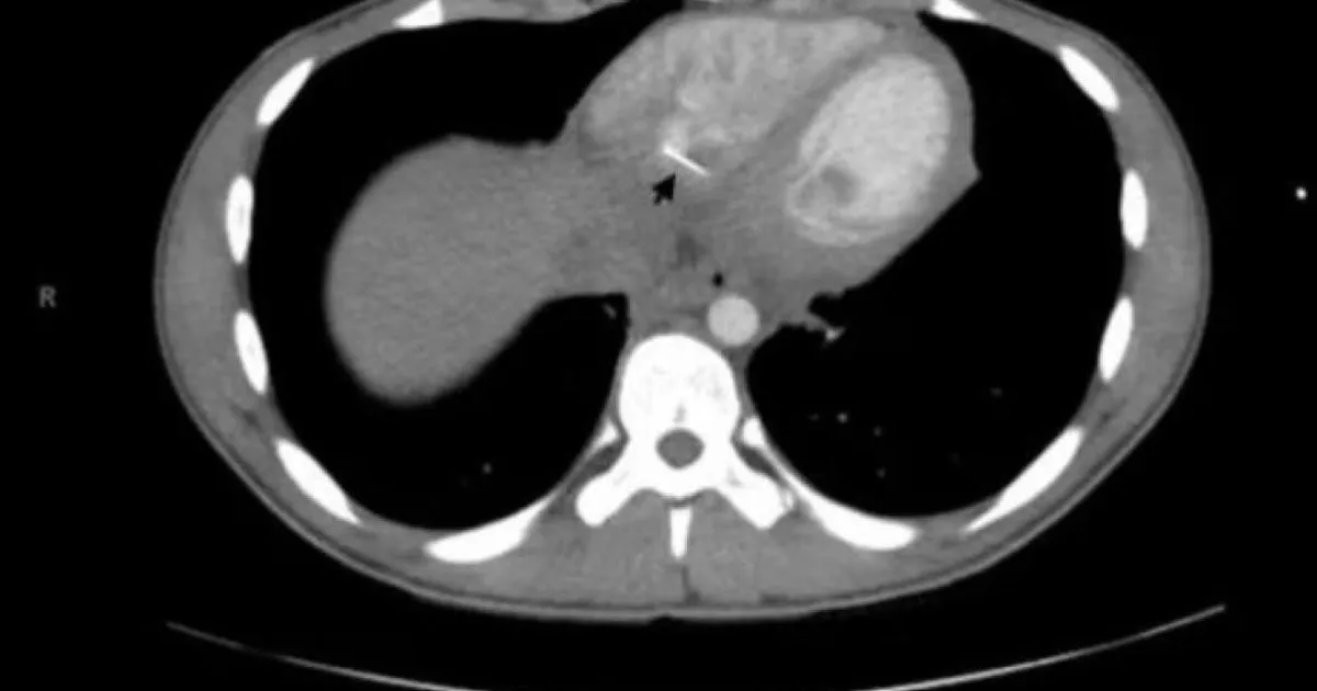
PulpStati Uniti, 17enne ricoverato con forti dolori al petto: senza precedenti, un ago da cucito conficcato dritto nel cuore5 settembre 2020